Kabaalioglu A1, Kesimal U1, Suleymanlar G2
1Akdeniz University Hospital, Department of Radiology, Antalya-Turkey
2Akdeniz University Hospital, Department of Nephrology, Antalya-Turkey
Corresponding Author: Adnan Kabaalioglu E-mail: adnank@akdeniz.edu.tr
Kopsavilkums
Pacientam ar autosomāli dominantu policistisku nieru slimību (ADPKD) un masīvu hematūriju tika veikts ultrasonogrāfijas un krāsu Doplera izmeklējums, kur atrastas multiplas, bilaterālas, aizdomīgas komplicētas cistas un blīvi veidojumi. Rūpīga masu izvērtēšana milzīgā policistiskā nierē, var palīdzēt diferencēt jaunveidojumus no hemorāģiskām vai inficētām cistām. Tomēr ne vienmēr ir viegli atrast, kurš veidojums ir atbildīgs par hematūriju ADPKD pacientam.
Gadījuma ziņojums
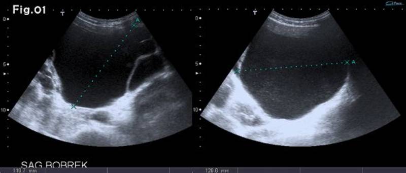
55 gadus vecs vīrietis ar autosomāli dominantu policistisku nieru slimību iestājās ar masīvu hematūriju un tika nosūtīts uz ultrasonogrāfijas (USG) izmeklējumu. USG tika rūpīgi izmeklētas abas lielās nieres, lai atrastu hematūrijas cēloni. Lielāko cistu maksimālais diametrs bija 120 mm kreisajā pusē un 102 mm labajā pusē. Kreisās puses cistai bija multipli sīki iekšēji ehogēni fokusi (1. attēls).
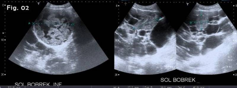
Kreisā nierē papildus tika atrasta arī kompleksa cistiska masa 114 mm diametrā un blīva masa, kuras izmēri bija 72x41x38 mm (2. attēls).
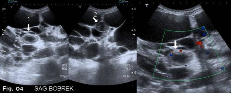
Krāsu Doplera izmeklējumā blīvā maisa bija bagātīgi vaskularizēta (3. attēls). Kompleksajā cistā vaskularizācija netika novērota.
Blīvā masa kreisajā nierē tika aprakstīta kā iespējama nieru šūnu karcinoma un pacientam veica kreisās puses nefrektomiju. Parenhīmas saglabājoša operācija netika veikta, jo pacientam pēdējos mēnešos jau bija uzsākta hemodialīze. Histoloģiskais slēdziens - nieru šūnu karcinoma, hromofobais tips.
Pacientam hematūrija turpinājās arī pēc operācijas un tika atkārtots USG izmeklējums. Šajā reizē labajā nierē tika atklātas divas kompleksas cistiskas masas, kas sākotnēji nelikās aizdomīgas (4. attēls).
Tā kā hematūrija turpinājās un pacients jau tika gatavots nieru transplantācijai, tika izoperēta arī labā niere. Histoloģiskajā izmeklēšanā atklājās tikai kompleksas labdabīgas cistas bez malignitātes.
Diskusija
Autosomāli dominanta policistiska nieru slimība ir viena no biežākajām pārmantotajām nieru slimībām. Visbiežāk klīniski tā izpaužas ar sāpēm sānos, hematūriju vai drudzi. Slimības gaitā var attīstīties nieru komplikācijas kā cistu saasiņošana vai infekcija, kā arī akmeņu veidošanās, retāk nieru jaunveidojumi. Vienā pētījumā saasiņojusi cista bija visiem policistiskās nieru slimības pacientiem ar hematūriju (1). Komplikācijas ir iespējams atklāt ar USG un krāsu Doplera izmeklējumu. Kaut gan pie lielām nierēm ar multplām sīkām cistām, varētu būt samērā grūti atklāt, kura cista vai cistas ir atbildīgas par hematūrijas vai piūrijas simptomiem un pazīmēm. Kontrasta USG ir vēl viens veids, ar ko raksturot aizdomīgas masas (2). Pastāv uzskats, ka ADPKD pacientiem nieru šūnu karcinomas risks nav augstāks, salīdzinot ar normālo populāciju. Tomēr citi zinātnieki uzskata, ka risks ir nedaudz paaugstināts (3,4). Vēl tiek apspriests, vai risks ir paaugstināts tikai hemodialīzes dēļ pie nieru mazspējas vai imūnsupresijas perioda dēļ pie nieru transplantācijas.
Atslēgas punkti
ADPKD pacientam ar hematūriju ir nepieciešams pilnīgs USG izmeklējums. CT vai MR izmeklējum var palīdzēt diferencēt aizdomīgas masas, taču jāatceras par kontrastvielas nefrotoksicitāti. Kompleksas un komplicētas cistiskas masas var būt gan jaunveidojumi, gan saasiņojums vai infekcija.
Atsauces
1. Gupta S, Seith A, Sud K, Kohli HS, Singh SK, Sakhuja V, Suri S. CT in the evaluation of complicated autosomal dominant polycystic kidney disease. Acta Radiol. 2000;41:280-4.
2. Navaratne S, Huang DY, Sellars ME, Sidhu PS. Renal cell carcinoma in polycystic kidney disease: Use of contrast-enhanced ultrasound for characterizaton and review of the literature. Ultrasound 2013;21:148-151.
3. Bonsib SM. Renal cystic diseases and renal neoplasms: a mini-review. Clin J Am Soc Nephrol. 2009;12:1998-2007.
4. Jilg CA, Drendel V, Bacher J, Pisarski P, Neeff H, Drognitz O, et al. Autosomal dominant polycystic kidney disease: prevalence of renal neoplasias in surgical kidney specimens. Nephron Clin Pract. 2013;123:13-21



